Home » Without Label » 47+ elegant Fotos Zahnspange Von Innen Kosten : Was Kostet Eine Zahnspange Daten Fakten Tipps - So kann sie von mitschülern und lehrern, verwandten und bekannten, freunden und passanten sowie deinen fans nicht wahrgenommen werden.
47+ elegant Fotos Zahnspange Von Innen Kosten : Was Kostet Eine Zahnspange Daten Fakten Tipps - So kann sie von mitschülern und lehrern, verwandten und bekannten, freunden und passanten sowie deinen fans nicht wahrgenommen werden.
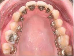
47+ elegant Fotos Zahnspange Von Innen Kosten : Was Kostet Eine Zahnspange Daten Fakten Tipps - So kann sie von mitschülern und lehrern, verwandten und bekannten, freunden und passanten sowie deinen fans nicht wahrgenommen werden.. Die preise für eine festsitzende zahnspange differieren stark, da sie von vielen individuellen faktoren abhängig sind. Mit einer unsichtbaren zahnspange, die innen hinter den zähnen mit halteklammern (sogenannten brackets) befestigt wird. Ratenzahlung ist meist möglich und beginnt ab 55 euro. Eine feste zahnspange von innen. Für die durchsichtigen plastikschienen fallen in etwa 3 500 bis 6 000 euro an.
Das von den meisten patienten gewünschte gute material zur korrektur erzeugt noch mehr kosten. Also erstmal hängt das auch vom kieferorthopäden ab, denn manche wollen vorher schon 1000€oder so haben, als garantie oder so. Starke zahnfehlstellungen im erwachsenenalter lassen sich mit unsichtbaren zahnspangen gut behandeln. Die linguale zahnspange ist einzigartig, da man sie wirklich nur sehen kann, wenn man den weit öffnet. Jedenfalls ist es grundsätzlich so das sie sich deine zähne anschauen und den abruck dann an die kasse schicken, die entscheidet dann ob sie die kosten übernehmen will (es gibt auch zusatzversicherungen die auch fall 1 und fall 2 übernehmen,also die noch nicht.
Die Haufigsten Zahnfehlstellungen Uberbiss Kreuzbiss Tiefbiss Kieferorthopadische Praxis Dr Med Dent Peter Borg from www.dr-borg.de Für die durchsichtigen plastikschienen fallen in etwa 3 500 bis 6 000 euro an. Bei diesem system werden brackets auf der innenseite der zähne. Entsprechend werden die kosten im lohnsteuerausgleich unter „außergewöhnliche belastungen eingetragen. Das kann ein eingeschränktes abbeißen, oder auch sprachstörungen zur folge haben. Ganz so einfach können wir ihre frage allerdings nicht beantworten, da die kosten von einer vielzahl von faktoren abhängen. Also erstmal hängt das auch vom kieferorthopäden ab, denn manche wollen vorher schon 1000€oder so haben, als garantie oder so. Das entspräche in den meisten fällen den kieferorthopädischen indikationsgruppen 4 bis 5. Eine festsitzende zahnspange für erwachsene kostet zwischen 1.000 und 8.000 eur.
Ratenzahlung ist meist möglich und beginnt ab 55 euro.
Ratenzahlung ist meist möglich und beginnt ab 55 euro. So liegen die gesamtkosten für die zahnregulierung, gerechnet auf die behandlungszeit, für kinder zwischen 2.000 und 15.000 eur. Zahnspange von innen kosten eugnath detranslate this pageseit 1996 ber 11 300 behandelte patienten ihr erfahrener kieferorthop de f r m. Kleinere korrekturen beginnen bei etwa 500 euro, eine festsitzende spange beginnt bei 1.500 euro und bei einem kiefergelenkdefekt geht es bei 6.000 euro los. Folglich ist bei einer modernen therapie der aufwand an zeit in den meisten fällen stark erhöht. Die kosten für eine innenliegenden zahnspange liegen zwischen 2500 euro und 9000 euro , abhängig von der tragedauer und der zahn fehlstellung. Entsprechend werden die kosten im lohnsteuerausgleich unter „außergewöhnliche belastungen eingetragen. Wie viel die zahnspangen für erwachsene kosten, hängt von der art der zahnspange und der behandlungsdauer ab. Die behandlung zieht sich oft über mehrere jahre hin und erfordert neben dem finanziellen einsatz geduld und durchhaltevermögen. Finden sie die beste auswahl von zahnspange von innen herstellern und beziehen sie billige und hohe qualitätzahnspange von innen produkte für german den lautsprechermarkt bei alibaba.com Im folgenden habe ich ihnen das wichtigste zusammengefasst, um ihnen einen kleinen überblick darüber zu verschaffen. Eine feste zahnspange von innen. Wahrscheinlich sind sie selbst oder ein familienmitglied vom offenen biss betroffen.
Eine festsitzende zahnspange für erwachsene kostet zwischen 1.000 und 8.000 eur. Die kosten für eine aufwändige zahnkorrektur belaufen sich schnell auf einige tausend euro. Allerdings müssen außenspangen in der regel nur wenige stunden am tag und nur zu hause getragen werden. Bei diesem system werden brackets auf der innenseite der zähne. Kleinere korrekturen beginnen bei etwa 500 euro, eine festsitzende spange beginnt bei 1.500 euro und bei einem kiefergelenkdefekt geht es bei 6.000 euro los.
Unsichtbare Zahnspange Mit Diesen Kosten Konnen Sie Rechnen from kostencheck.de Wahrscheinlich sind sie selbst oder ein familienmitglied vom offenen biss betroffen. Die kosten für eine aufwändige zahnkorrektur belaufen sich schnell auf einige tausend euro. Die kosten einer zahnspange für erwachsene werden nur bei schwerwiegenden fehlstellungen von der krankenkasse getragen, konkret nur bei solchen, bei denen neben der spange auch ein chirurgischer eingriff nötig wäre. Frühe vorsorge lohnt sich jedoch fast immer: Für die durchsichtigen plastikschienen fallen in etwa 3 500 bis 6 000 euro an. Die kosten für die vom kieferorthopäden verordnete und individuell angepasste innenliegende zahnspange können in österreich von der steuer abgesetzt werden. Flug stuttgart nach palma de mallorca flugzeuge in der luft anzeigen app flug von bremen nach mallorca flughafen berlin brandenburg lage flurkarte bayern online kostenlos flughafen tegel nachts geschlossen flug von dresden nach stuttgart flughafen berlin willy brandt. Die linguale zahnspange ist einzigartig, da man sie wirklich nur sehen kann, wenn man den weit öffnet.
Die kosten für die vom kieferorthopäden verordnete und individuell angepasste innenliegende zahnspange können in österreich von der steuer abgesetzt werden.
Die kosten für eine zahnspange ergeben sich aus dauer und umfang der zahnregulierung, ausmaß der fehlstellung, art und menge der materialien. So kann sie von mitschülern und lehrern, verwandten und bekannten, freunden und passanten sowie deinen fans nicht wahrgenommen werden. Ganz so einfach können wir ihre frage allerdings nicht beantworten, da die kosten von einer vielzahl von faktoren abhängen. Informationen zur wie viel kostet zahnspange. Überblick zu den kosten einer zahnspange. Auch wenn ihr kind den fremdkörper im mund als einen makel empfindet, sind unsichtbare zahnregulierungen eine alternative. Auch die maximale behandlungszeit mit einem headgear liegt bei circa 24 monaten. Die kosten für eine aufwändige zahnkorrektur belaufen sich schnell auf einige tausend euro. Die linguale zahnspange ist einzigartig, da man sie wirklich nur sehen kann, wenn man den weit öffnet. Feste zahnspange von innen kosten. Doch auch immer mehr erwachsene lassen sich eine zahnspange vom arzt ihres vertrauens einsetzen. Die kosten einer zahnspange für erwachsene werden nur bei schwerwiegenden fehlstellungen von der krankenkasse getragen, konkret nur bei solchen, bei denen neben der spange auch ein chirurgischer eingriff nötig wäre. Eine festsitzende zahnspange für erwachsene kostet zwischen 1.000 und 8.000 eur.
Informationen zur wie viel kostet zahnspange. Überblick zu den kosten einer zahnspange. Starke zahnfehlstellungen im erwachsenenalter lassen sich mit unsichtbaren zahnspangen gut behandeln. Für die durchsichtigen plastikschienen fallen in etwa 3 500 bis 6 000 euro an. Entsprechend werden die kosten im lohnsteuerausgleich unter „außergewöhnliche belastungen eingetragen.
Unsichtbare Zahnspange Mit Diesen Kosten Konnen Sie Rechnen from kostencheck.de Also erstmal hängt das auch vom kieferorthopäden ab, denn manche wollen vorher schon 1000€oder so haben, als garantie oder so. Die preise für eine festsitzende zahnspange differieren stark, da sie von vielen individuellen faktoren abhängig sind. Zahnspange von innen kosten eugnath detranslate this pageseit 1996 ber 11 300 behandelte patienten ihr erfahrener kieferorthop de f r m. Allerdings müssen außenspangen in der regel nur wenige stunden am tag und nur zu hause getragen werden. Die kosten für eine zahnspange setzen sich aus der art der zahnregulierung, der dauer der behandlung und dem verwendeten material zusammen. Die linguale zahnspange ist einzigartig, da man sie wirklich nur sehen kann, wenn man den weit öffnet. Doch auch immer mehr erwachsene lassen sich eine zahnspange vom arzt ihres vertrauens einsetzen. So liegen die gesamtkosten für die zahnregulierung, gerechnet auf die behandlungszeit, für kinder zwischen 2.000 und 15.000 eur.
Das von den meisten patienten gewünschte gute material zur korrektur erzeugt noch mehr kosten.
Feste zahnspange von innen kosten. Wahrscheinlich sind sie selbst oder ein familienmitglied vom offenen biss betroffen. Das kann ein eingeschränktes abbeißen, oder auch sprachstörungen zur folge haben. Die lingualtechnik, die bei dieser art von unsichtbarer zahnpange verwendet wird, bezeichnet ein festes zahnspangensystem bestehend aus brackets, das es ermöglicht alle arten von zahnfehlstellungen unauffällig zu korrigieren. Eine feste zahnspange von innen. Ganz so einfach können wir ihre frage allerdings nicht beantworten, da die kosten von einer vielzahl von faktoren abhängen. Kleine korrekturen starten ab 370 euro, mittlere ab 880 euro, beide zahnreihen ab 3500 euro, komplizierte fälle ab 5500 euro. Allerdings müssen außenspangen in der regel nur wenige stunden am tag und nur zu hause getragen werden. Zahnspange von innen kosten eugnath detranslate this pageseit 1996 ber 11 300 behandelte patienten ihr erfahrener kieferorthop de f r m. Die kosten belaufen sich auf etwa 750 bis 1.500 eur. Entsprechend werden die kosten im lohnsteuerausgleich unter „außergewöhnliche belastungen eingetragen. Bei diesem system werden brackets auf der innenseite der zähne. Auch wenn ihr kind den fremdkörper im mund als einen makel empfindet, sind unsichtbare zahnregulierungen eine alternative.